Pesaro Dental
   
Ceramica fluorescente Protesi fissa Protesi mobile Ortodonzia e termoformatura
Metallo ceramica
Ceramica pressata su metallo
Ceramica integrale
Faccette estetiche
Ceramica su zirconio
Meriland bridge
Protesi su impianti
Intarsi
Protesi fissa
metallo ceramica
 
   
 
LEGA PALLADIO ARGENTO
 
   
 
ORO
CASO 01
 
CASO 02
 
   
 
PROVA METALLO
 
   
 
CASO ULTIMATO
 
 
   
 
PROVA METALLO
 
   
 
CASO ULTIMATO
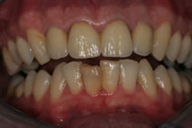
CASO 03